Giới thiệu
Kỹ thuật hòa hình (Fusion Imaging) là một công nghệ tiên tiến nhất hiện nay giúp “trộn” nhiều hình ảnh thu thập từ các kỹ thuật khác nhau như siêu âm, cắt lớp vi tính (CLVT) hay cộng hưởng từ (CHT) thành một hình ảnh tổng hợp, hiển thị đồng thời trên màn hình siêu âm thời gian thực, nhằm kết hợp và tối ưu hoá ưu điểm của từng kỹ thuật hình ảnh riêng biệt [1]. Hai phương thức hoà hình phổ biến hiện nay là hình ảnh siêu âm được ghép với CLVT và siêu âm ghép với CHT.
Siêu âm là một kỹ thuật hình ảnh rất phổ biến hiện nay, có nhiều ưu điểm như không nhiễm xạ, thuận tiện, dễ dàng thực hiện mọi lúc mọi nơi, có khả năng ghi hình theo thời gian thực, độ phân giải cấu trúc cao; tuy nhiên siêu âm có nhược điểm là độ phân giải không gian không tốt, không khảo sát được môi trường có khí hay trong trường hợp bệnh nhân béo phì, không đánh giá được tính chất ngấm và thải thuốc tương phản của tổn thương. Ngược lại, CLVT hay CHT có tiêm thuốc tương phản là kỹ thuật hình ảnh có độ tương phản không gian tốt, cho phép khảo sát tổng thể, với độ nhạy và độ đặc hiệu cao trong phát hiện và chẩn đoán bản chất tổn thương. Việc kết hợp đồng thời siêu âm và CLVT/CHT trong cùng một lần thăm khám giúp tận dụng tối đa ưu điểm đồng thời hạn chế nhược điểm của từng kỹ thuật [2], [3].
Trên thực tế thường gặp trường hợp một cơ quan có nhiều loại tổn thương khác nhau, ví dụ nhu mô gan có nhiều nốt với bản chất rất khác nhau như nốt xơ, nốt tân tạo, nốt loạn sản, u…, hay một tổn thương không thấy được trên siêu âm mà chỉ thấy được trên CLVT/CHT có tiêm thuốc tương phản. Kỹ thuật hoà hình đặc biệt hữu ích giúp Bác sỹ phân biệt và lựa chọn chính xác tổn thương cần can thiệp (ví dụ: sinh thiết, đốt nhiệt huỷ u) bằng cách tích hợp hình ảnh CLVT/CHT ngay trên màn hình siêu âm, từ đó có thể đối chiếu trực tiếp vị trí của tổn thương trên CLVT/CHT với mặt cắt siêu âm tương ứng, giúp tăng độ chính xác và an toàn cho thủ thuật, hạn chế bỏ sót hay can thiệp nhầm tổn thương [2].
Nguyên lý và cách thực hiện
Nguyên lý của của kỹ thuật là sử dụng phần mềm lẫn phần cứng để dựng hình tái tạo từ dữ liệu khối CLVT hay CHT sao cho tương hợp với hình ảnh siêu âm động đang quét bằng đầu dò. Để thực hiện được điều này thì chính phần mềm và phần cứng của thiết bị phải động bộ hóa hệ quy chiếu của hình siêu âm đang diễn ra trong thời gian thực với hệ qui chiếu của dữ liệu khối CLVT hay CHT đã được chụp trước đó [5].
Hệ thống hòa hình bao gồm (1) máy siêu âm, (2) bộ thu, phát và xử lý tín hiệu điện từ và (3) 2 cảm biến từ tính nhỏ gắn vào giá đỡ của đầu dò siêu âm. Các bước tiến hành:
- Bước 1: Thu nhận dữ diệu hình ảnh CLVT hay CHT dưới dạng DICOM hay trên hệ thống PACS. Tải dữ liệu vào trạm làm việc.
- Bước 2: Ghi hình siêu âm với đầu dò gắn cảm biến để hệ thống định vị.
- Bước 3: Đồng bộ hệ quy chiếu không gian của hình siêu âm với hệ quy chiếu của hình CLVT hay CHT. Có thể sử dụng cả mốc giải phẫu để đánh dấu mốc chung trên hình ảnh của hai phương tiện.
- Bước 4: Xác định hình ảnh tổn thương đích trên hai phương thức. Hình ảnh siêu âm và CLVT hay CHT được sắp xếp cạnh nhau và hiển thị cùng mặt phẳng, di chuyển động bộ với nhau.
Ứng dụng trong sinh thiết gan
Có nhiều nghiên cứu đã chứng minh kỹ thuật hòa hình siêu âm với CLVT hay CHT làm tăng khả năng chẩn đoán và tăng sự thành công trong hướng dẫn can thiệp trong bệnh lý gan [6, 7]. Khoa Chẩn đoán hình ảnh, Bệnh viện trường Đại học Y Dược Huế đã được trang bị hệ thống máy siêu âm Samsung V7 với đầy đủ các phần mềm hiện đại nhất như siêu âm đàn hồi mô (elastography), siêu âm vi mạch (microvascular flow imaging) và siêu âm hoà hình (fusion imaging). Từ tháng 12/2023, khoa Chẩn đoán hình ảnh đã bắt đầu ứng dụng kỹ thuật hòa hình siêu âm với CLVT vào chẩn đoán và hướng dẫn sinh thiết các tổn thương gan khó. Bệnh viện trường Đại học Y Dược Huế là một trong số ít các trung tâm trong cả nước ứng dụng công nghệ này trong khám chữa bệnh.
Trường hợp minh hoạ
Bệnh nhân nam, 63 tuổi, vào viện vì nhiễm trùng đường mật.

Hình 1: Cắt lớp vi tính động học 4 thì. (A) Hơi toàn bộ đường mật trong gan (đầu mũi tên trắng). (B, C, D) Khối u ở gan phải, có phần ngấm thuốc, không rõ thải thuốc, khả năng xâm lấn đường mật. Giãn đường mật toàn bộ trong gan.

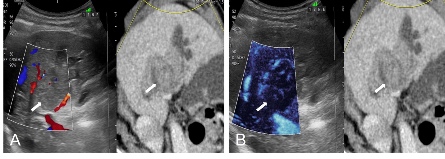
Hình 2: Hình ảnh hòa hình siêu âm với CLVT thì tĩnh mạch, kết hợp Doppler màu (A) và vi mạch trên cùng màn hình siêu âm (B). Trên siêu âm thường quy, tổn thương đồng âm với nhu mô gan cùng với việc có khí toàn bộ đường mật trong gan nên rất khó phát hiện. Chúng tôi sử dụng kỹ thuật hoà hình để xác định chính xác vị trí tổn thương cần sinh thiết lấy mẫu bệnh phẩm trên siêu âm, đối chiếu tương ứng với tổn thương trên CLVT (mũi tên).

Hình 3: Sinh thiết tổn thương ở gan dưới hướng dẫn siêu âm sau khi đã xác định rõ vị trí dựa vào kỹ thuật hoà hình. Kết quả giải phẫu bệnh Carcinoma tế bào gan.
Kết luận
Kỹ thuật hoà hình kết hợp giữa siêu âm với CLVT/CHT là một công nghệ tiên tiến, hữu ích không chỉ trong việc phát hiện, theo dõi và đánh giá các tổn thương khác nhau ở gan mà còn giúp xác định chính xác tổn thương cần can thiệp chẩn đoán và điều trị.
Tài liệu tham khảo
1. Jeffrey Stoll. Ultrasound fusion imaging. J Perspectives in Medicine. 2012;1(1-12):80-1.
2. Radiology ESo. Abdominal applications of ultrasound fusion imaging technique: liver, kidney, and pancreas. Insights Imaging. 2019;10(1):6.
3. Quân NPB. Kỹ thuật kết hợp hình ảnh siêu âm với hình ảnh cắt lớp vi tính hoặc cộng hưởng từ. Tạp chí Điện quang Y học hạt nhân Việt Nam. 2018(29):92-7.
4. Lorentzen T, Nolsoe C, Ewertsen C, et al. EFSUMB guidelines on interventional ultrasound (INVUS), part I–general aspects (long version). Ultraschall in der Medizin-European Journal of Ultrasound. 2015;36(05):E1-E14.
5. Ewertsen C, Saftoiu A, Gruionu LG, Karstrup S, Nielsen MB. Real-time image fusion involving diagnostic ultrasound. American Journal of Roentgenology. 2013;200(3):W249-W55.
6. Ahn SJ, Lee JM, Chang W, et al. Clinical utility of real-time ultrasound-multimodality fusion guidance for percutaneous biopsy of focal liver lesions. European journal of radiology
2018;103:76-83.
7. Song KD, Lee MW, Rhim H, Cha DI, Chong Y, Lim HK. Fusion imaging–guided radiofrequency ablation for hepatocellular carcinomas not visible on conventional ultrasound. American Journal of Roentgenology. 2013;201(5):1141-7.


